ჩვეულებრივი ფერისმჭამელა (აკნე) - Acne vulgaris.


რა არის აკნე?

ვულგარული აკნე– ეს არის კანის ცხიმოვანი ჯირკვლების ანთება.

რა იწვევს დაავადებას?

აკნეს საფუძვლად უდევს ცხიმოვანი ჯირკვლის დახშობა (ობსტრუქცია) ცხიმის საცობით ან კერატინოციტებით. მოგვიანებით ხდება სხვადასხვა გამომწვევის მიერ კანის დაინფიცირება და ფოლიკულის ანთება. ძირითადი გამომწვევია Propionobacterium acne , Staphylococcus aureus (ოქროსფერი სტაფილოკოკი) და Staphylococcus epidermidis (ეპიდერმალური სტაფილოკოკი).
დაავადების ხელშემწყობი ფაქტორებია: პუბერტატული ასაკი, ჰორმონალური სტატუსის ცვლილებები, ოკლუზიური კოსმეტიკური ნაწარმი, დიეტის უხეში დარღვევა.

როგორ გამოვლინდება დაავადება?

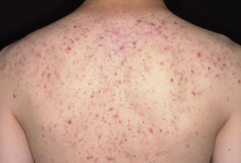
• გამონაყარის ტიპიური ლოკალიზაციაა სახე, გულმკერდი და ზურგის მიდამო.
• გამონაყარი წარმოდგენილია ორი სახის ელემენტებით: ანთებითი და არაანთებითი (ღია და დახურული კომედონები, კვანძები, პუსტულები, ცისტები).
• ხშირია ანთებისშემდგომი ნაწიბურების არსებობა.
• კონგლობირებული აკნე წარმოადგენს ჩვეულებრივი აკნეს ყველაზე მძიმე ფორმას.

არის თუ არა გადამდები დაავადება?

აკნე არ არის გადამდები დაავადება.

განკურნებადია თუ არა დაავადება?

აკნე განკურნებადია.

როგორია მკურნალობის მეთოდები?

    • ადგილობრივი სებომარეგულირებელი და ანტიბიოტიკების შემცველი საშუალებები.
    • ორალური ანტიბიოტიკოთერაპია (უმჯობესია ბაქტერიული ფლორის გათვალისწინებით)
    • მძიმე შემთხვევებში ორალური იზოტრეტინოინი.
    • კოსმეტოლოგიური პროცედურები (ელექტროკოაგულაცია, პილინგი, დერმაბრაზია და სხვა)


სასარგებლო რჩევები:

• აკნეს არსებობის შემთხვევაში არ უნდა გამოიყენოთ ცხიმიან ფუძეზე დამზადებული ნაწარმი.
• მნიშვნელოვანია კუჭის მოქმედების რეგულაცია.
• ქალების შემთხვევაში საჭიროა მცირე მენჯის ღრუს ორგანოების ფუნქციური კვლევა.


აკნე გამონაყარი სახეზე gamonayari saxeze