ბულოზური პემფიგოიდი (Bullous pemphigoid)

რა არის ბულოზური პემფიგოიდი?

ბულოზური პემფიგოიდი – ეს არის იშვიათი, აუტოიმუნური დაავადება.

რა იწვევს დაავადებას?

ბულოზური პემფიგოიდის დროს ანტისხეულები მამართულია ბაზალური მემებრანის წინააღმდეგ, რაც იწვევს ეპიდერმისისა და დერმის ერთმანეთისაგან განშრევებას. ხშირია მოხუცებულობის ასაკში.

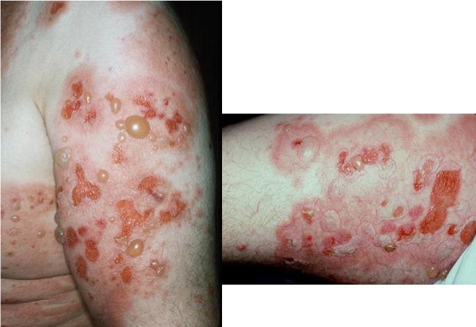
როგორ გამოვლინდება დაავადება?

• დაავადება გამოვლინდება ბუშტების არსებობით ნორმალური ან ერითემატოზული კანის ფონზე.
• ბუშტების გასკდომის შედეგად წამოიქმნება ეროზირებული კერები და თხელი ქერქები.
• ხშირია გამონაყარის მეორადი ინფიცირება.
• ხშირი არ არის პირის ღრუს დაზიანება.
• ახასიათებს ქავილი.
• „ ნიკოლსკის“ სიმპტომი ხშირად ნეგატიურია.

არის თუ არა გადამდები დაავადება?

დაავადება გადამდები არ არის.

განკურნებადია თუ არა დაავადება?

დაავადება ქრონიკული ხასიათისაა, თუმცა სწორად დანიშნული მკურნალობა ამცირებს რეციდივებს, მიიღწევა ხანგრძლივი რემისია.

როგორია მკურნალობის მეთოდები?

    • ორალური და ტოპიკური სტეროიდები.
    • სტეროიდების გვერდითი მოვლენების მართვა.
    • ანტიჰისტამინური პრეპარატები.
    • მეორადი ინფექციის მკურნალობა.


ბულოზური პემფიგოიდი