კვანძოვანი ერითემა
Erythema nodosum
რა არის კვანძოვანი ერითემა?
კვანძოვანი ერითემა - ეს არის პანიკულიტის ერთ-ერთი ფორმა, რომელიც ხასიათდება მოვარდისფრო ელფერის კანქვეშა კვანძებით.
რა იწვევს დაავადებას?
• დაავადება წარმოადგენს ჰიპერმგრძნობელობით რეაქციას სხვადასხვა სახის ანტიგენურ გამაღიზიანებელზე. ის შესაძლოა გამოწვეული იყოს სხვადასხვა სახის ბაქტერიული ინფექციით ( სტრეპტოკოკული ინფექცია, ტუბერკულოზი, კეთრი). ვირუსული ინფექციებით (ებშტეინ- ბარის ვირუსი, ჰეპატიტები, ჰერპეს ვირუსი და სხვა), მედიკამენტებით (სულფონამიდები, ორალური კონტრაცეპტივები, იოდიდები, ბრომიდები, სალიცილატები), სიმსივნეებით (ლიმფომა, ლეიკემია), ანთებითი დაავადებებით ( წყლულოვანი კოლიტი, სარკოიდოზი, კრონის დაავადება, სვიტის სინდრომი).
• დაავადებას შესაძლოა ჰქონდეს იდიოპათიური ხასიათი.
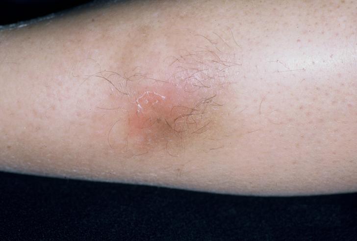
როგორ გამოვლინდება დაავადება?
• კანზე გამონაყარი წარმოდგენილია მოვარდისფრო ელფერის, კანქვეშა მტკივნეული, პალპაციით მკვრივი კვანძებით.
• დამახასიათებელი ლოკალიზაციაა კიდურები, თუმცა შესაძლოა ჰქონდეს გენერალიზებული ხასიათი.
• გამონაყარს ხშირად თან ახლავს საერთო სისუსტე, დიარეა, ცხელება და თავის ტკივილი.
• გამონაყარი არ ტოვებს ნაწიბურებს.
არის თუ არა გადამდები დაავადება?
კვანძოვანი ერითემა არ არის გადამდები დაავადება.
განკურნებადია თუ არა დაავადება?
დაავადება განკურნებადია.
როგორია მკურნალობის მეთოდები?
• თანმხლები დაავადების დეტექცია და მკურნალობა.
• მოსვენებითი რეჟიმი.
• კიდურების კომპრესია.
• არასტეროიდული ანთების საწინააღმდეგო საშუალებები.
• მძიმე შემთხვევაში სისტემური მოქმედების სტეროიდები.
ძიება ვებ-გვერდზე
ჰიპერმგრძნობელობითი რეაქციები და ვასკულიტები