ბრტყელი მეჭეჭები (Verruca plane)

რა არის ბრტყელი მეჭეჭი?

ბრტყელი მეჭეჭები - ეს არის კანის ვირუსული დაავადება.

რა იწვევს ბრტყელ მეჭეჭს?

დაავადება გამოწვეულია ადამიანის პაპილომა ვირუსით (HPV-3,10). ხშირია ბავშვთა ასაკში და ახალგაზრდებში.

როგორ გამოვლინდება დაავადება?

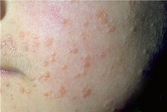
• ტიპური ლოკალიზაციაა სახე, მტევნები და ტერფები.
• გამოვლინდება ბრტყელი, მოვარდისფრო ან მოყავისფრო შეფერილობის პაპულებით.
• შესაძლოა ახლდეს უმნიშვნელო ქავილი.

არის თუ არა გადამდები დაავადება?

ბრტყელი მეჭეჭები გადამდები დაავადებაა.

განკურნებადია თუ არა დაავადება?

დაავადება განკურნებადია.

როგორია მკურნალობის მეთოდები?

    • სალიცილის მჟავას შემცველი მალამოები (15-50%)- ხანგრძლივად.
    • კრიოდესტრუქცია.


ბრტყელი მეჭეჭი ბრტყელი მეჭეჭი